TEL:
中文版
English
产品搜索
English
Español
首页
HOME
关于三比
about
产品中心
product
正畸托槽
Z2托槽
威派自锁
瓷派陶瓷自锁
主动自锁
结扎托槽
正畸粘接剂
蓝胶
白胶
正畸颊面管
方丝弓颊面管
直丝弓颊面管
滑动颊面管
正畸带环
直丝弓带环
方丝弓带环
滑动带环
正畸附件
舌侧扣
游离牵引钩
螺旋扩弓器
正畸丝
镍钛丝
不锈钢丝
正畸钳
切断类钳
弯制类钳
去除类钳
其他类钳
隐形正畸钳
技工钳
新闻资讯
news
三比课堂
course
视频与下载
Video & Download
联系我们
contact
English
三比课堂
Z2病例分享
瓷派病例分享
威派病例分享
您的位置:
三比课堂
Z2病例分享
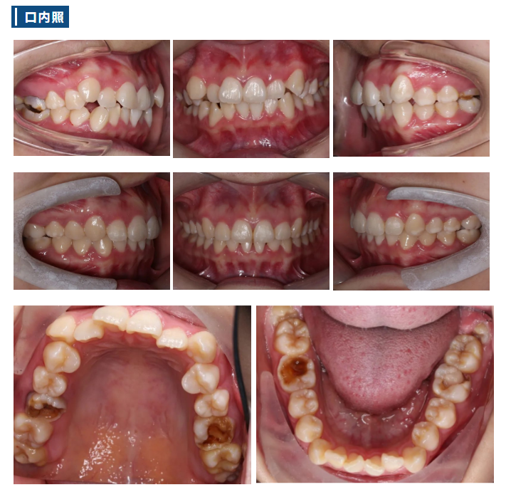
Z2 病例分享 | 一例减数上下颌四颗第一磨牙矫治拥挤病例(雷蕾)
发布时间:
2022/10/8
上一篇:
Z2病例分享 | 一例前牙开合伴TMD矫治(褚衍昊 杨鑫 张健健)
下一篇:
Z2 病例分享 | 一例非拔牙矫治病例(王玥)
关于三比
产品中心
首页
新闻中心
联系我们